Профгигиена полости рта | Стоматология «Ортодент прайм» в Вологде

/ Статьи /

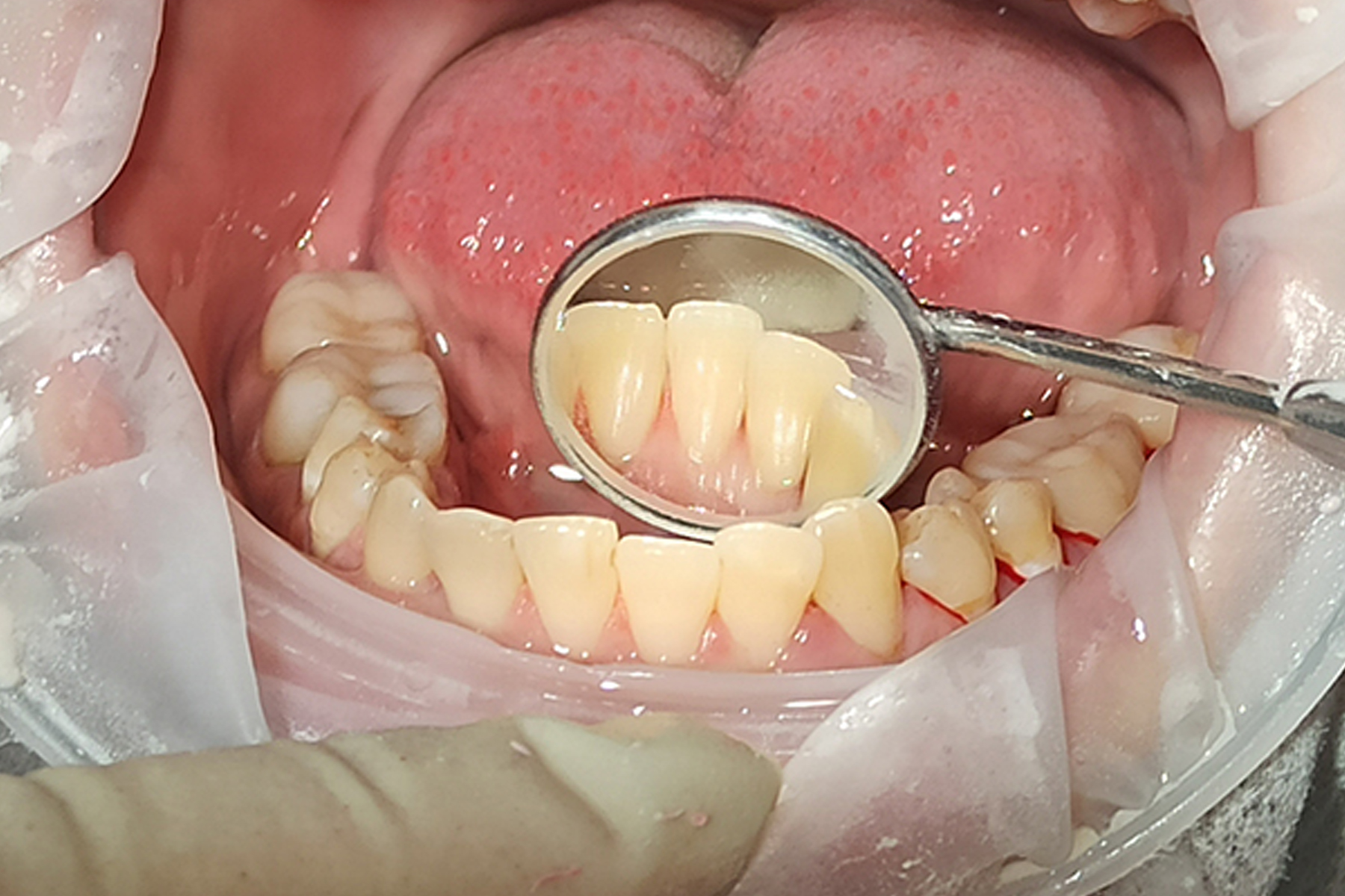
Профгигиена полости рта

Результат работы

Нужна консультация?

Оставьте свой номер телефона, мы перезвоним, ответим
на Ваши вопросы и подберём удобное время приёма.

Или позвоните нам сами — 8 (8172) 239-709.

Мы собираем cookies и данные метрики для корректной работы сайта.
Политика обработки персональных данных

Принять