Лечение на брекет-системе | Стоматология «Ортодент прайм» в Вологде

Лечение на брекет-системе

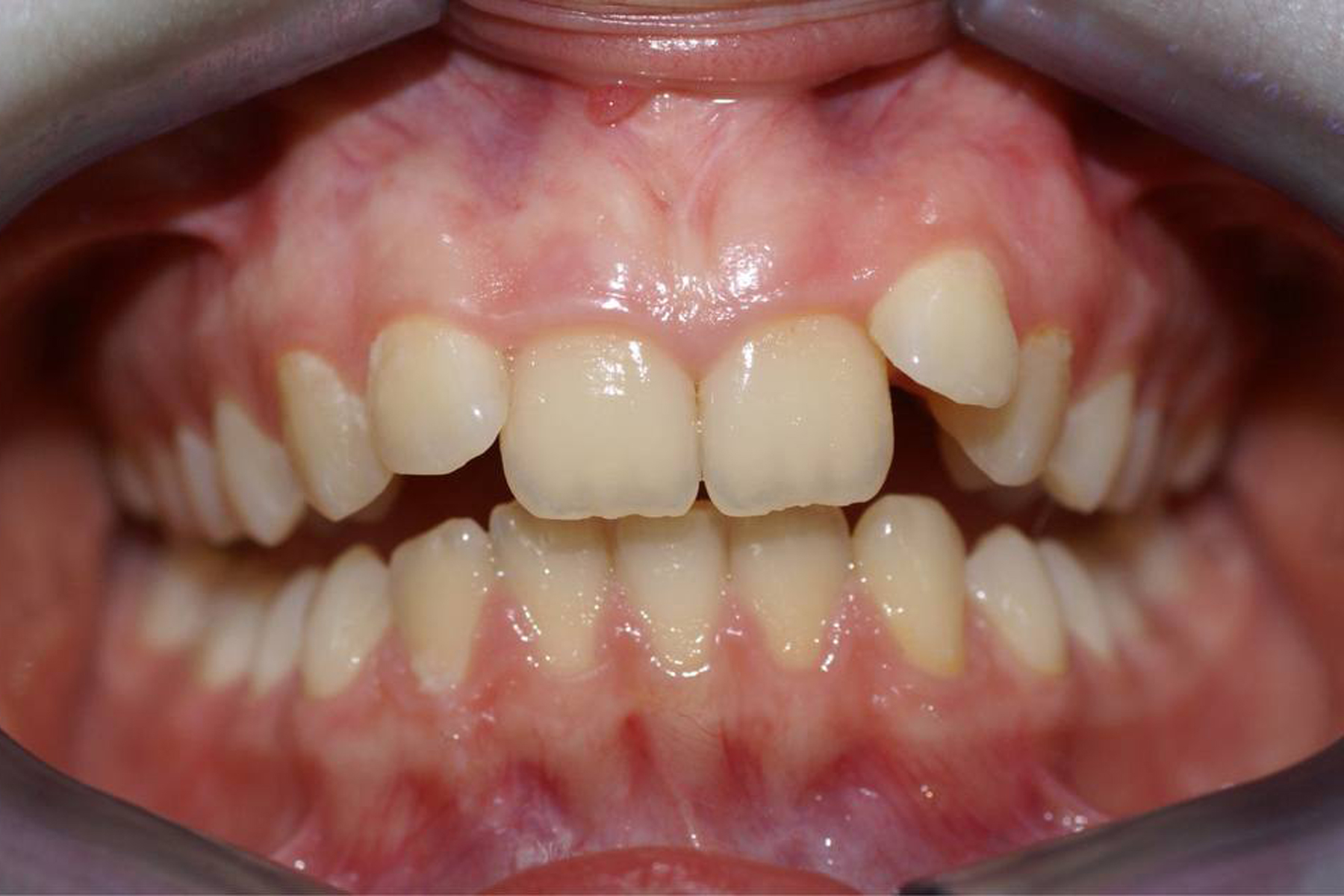
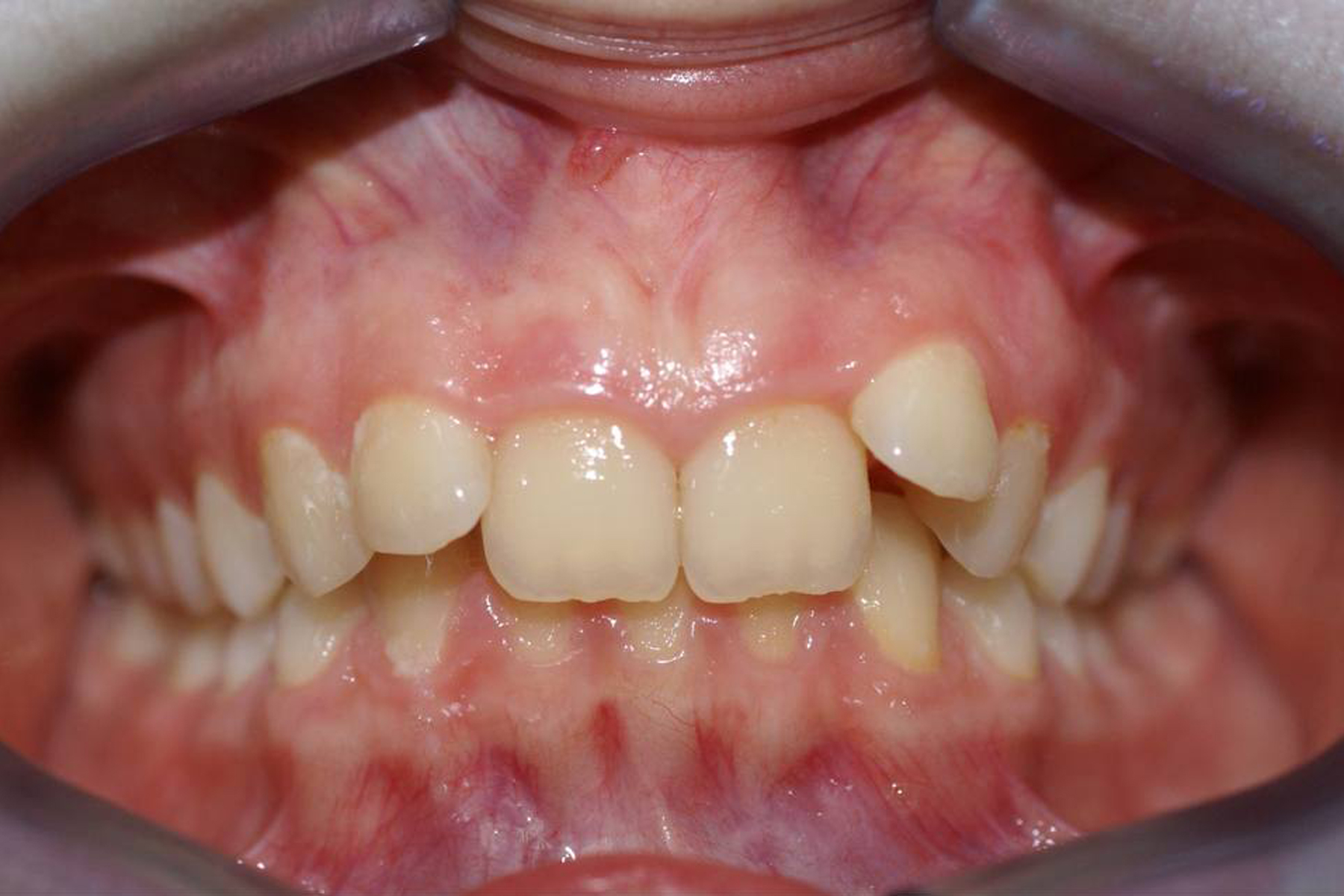
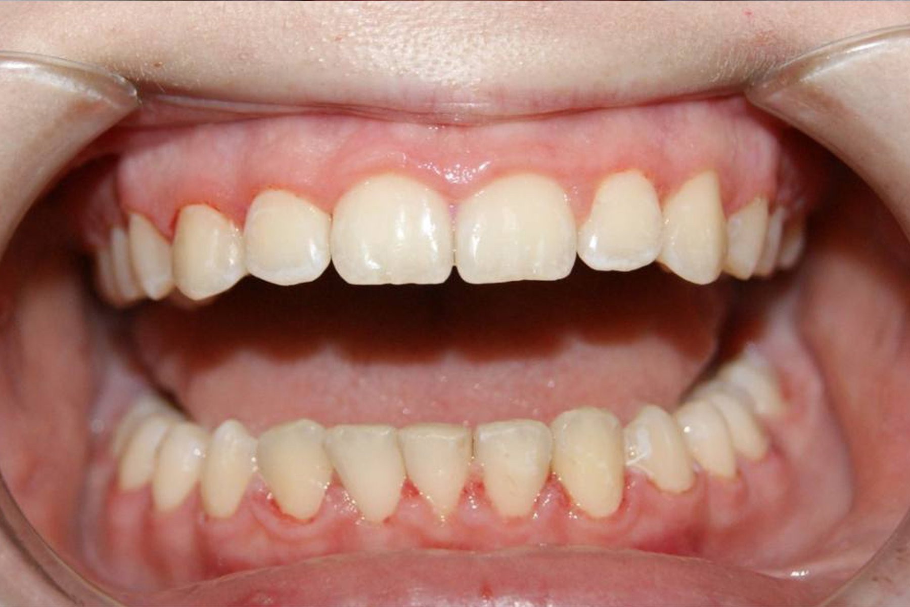
Диагноз:

Летрузия (внутреннее положение) верхних центральных резцов, глубокий прикус.

/ Статьи /

Лечение на брекет-системе

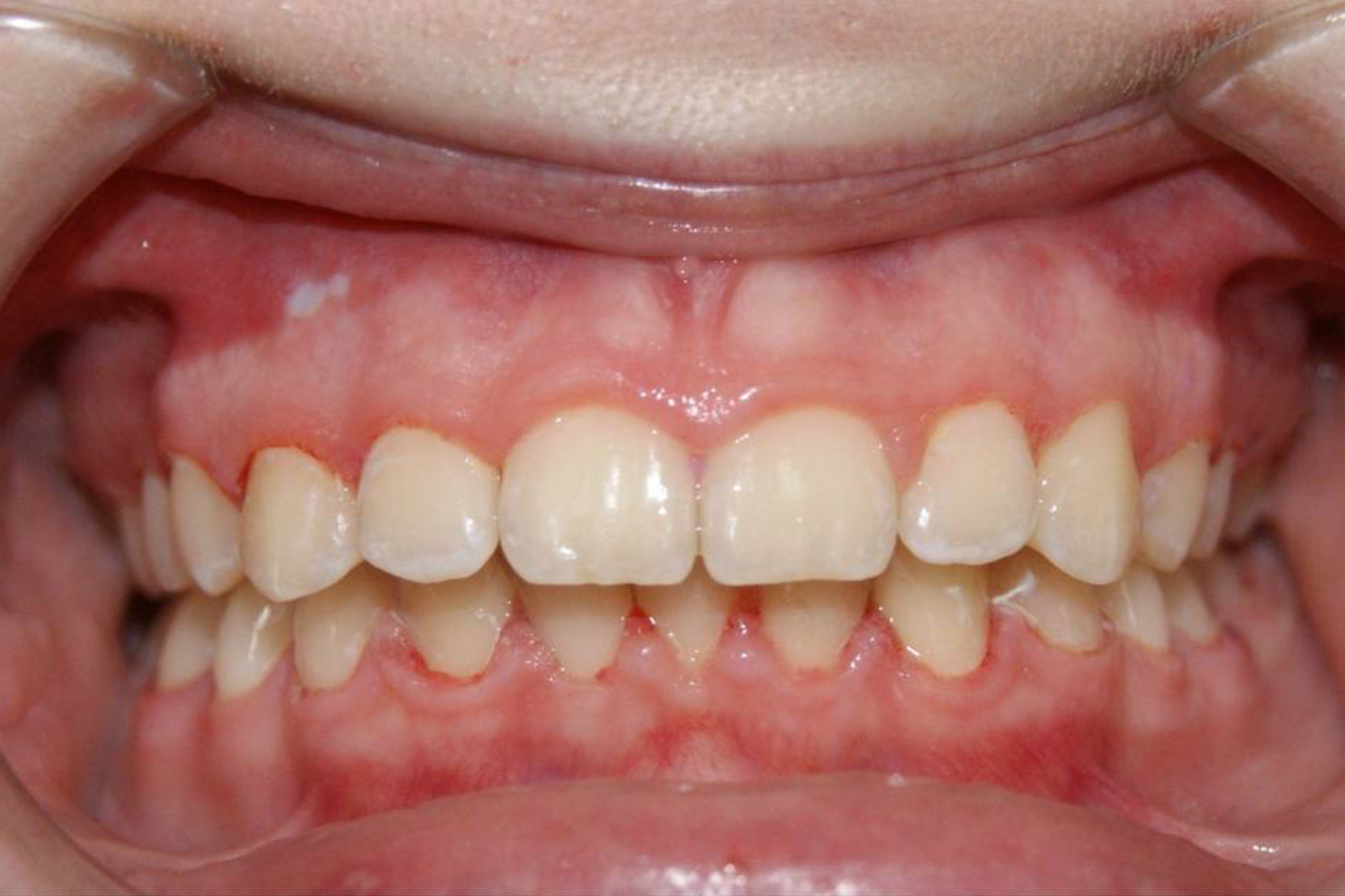
Результат работы

Лечение

Лечение на брекет-системе

Нужна консультация?

Оставьте свой номер телефона, мы перезвоним, ответим
на Ваши вопросы и подберём удобное время приёма.

Или позвоните нам сами — 8 (8172) 239-709.

Мы собираем cookies и данные метрики для корректной работы сайта.
Политика обработки персональных данных

Принять