Лечение на брекет-системе | Стоматология «Ортодент прайм» в Вологде

Лечение на брекет-системе

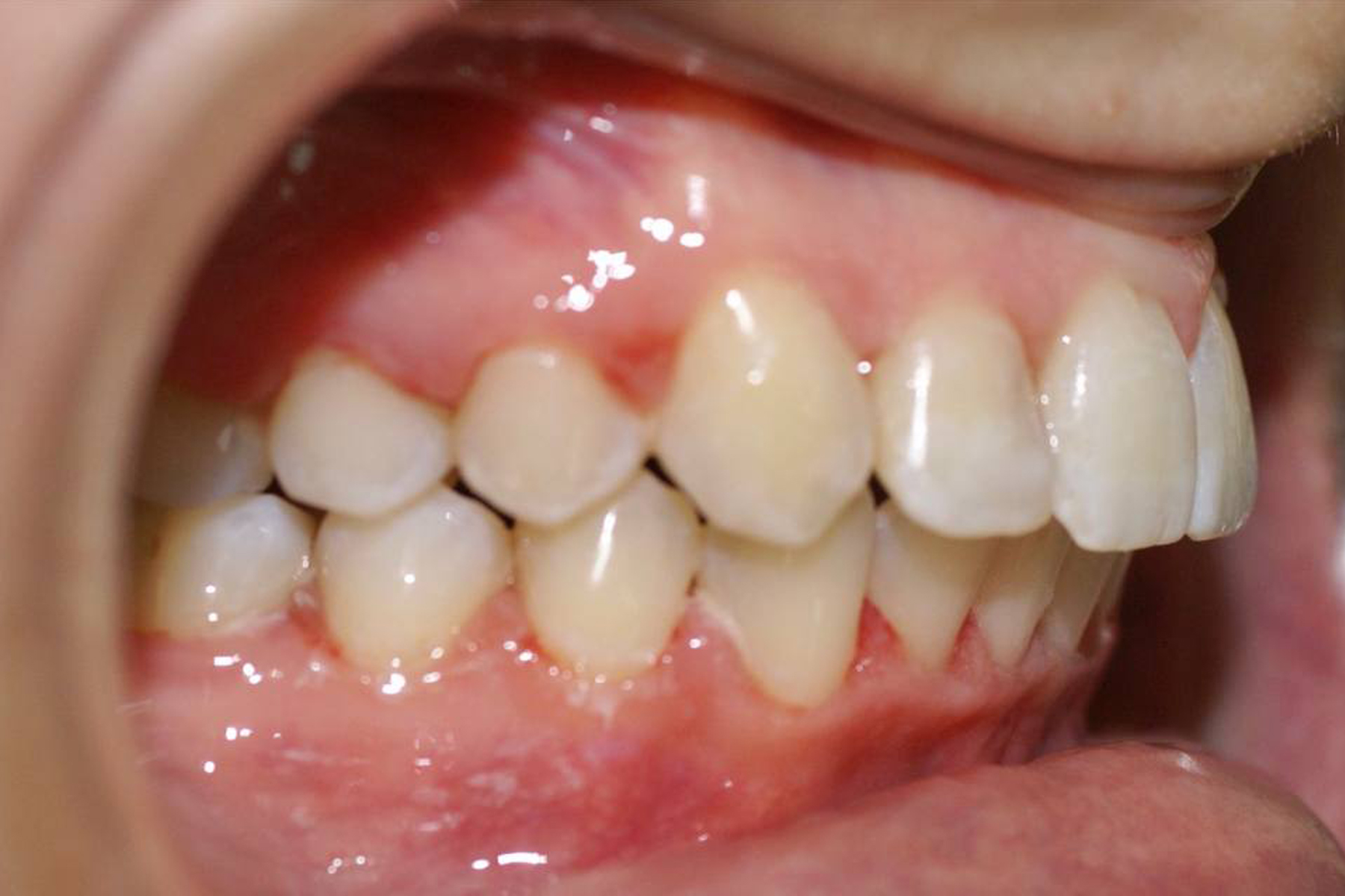
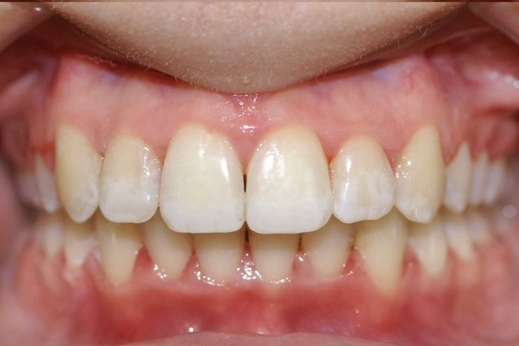
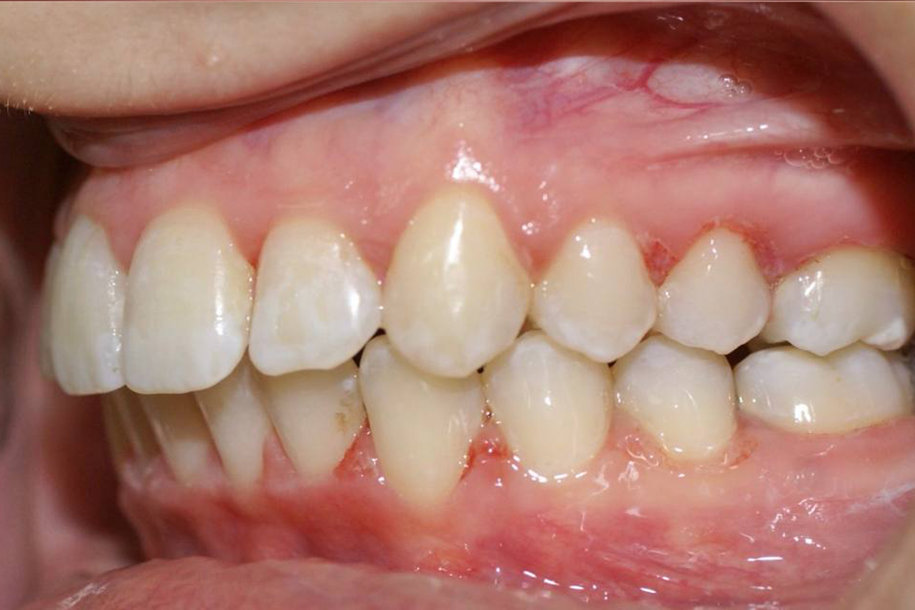
Диагноз:

Дистальный блокирующий прикус , наклон верхних резцов «внутрь», из-за которых нижняя челюсть уходит назад. Происходит компрессия суставов (ВНЧС), в будущем может быть щелканье и болевой синдром.

/ Статьи /

Лечение на брекет-системе

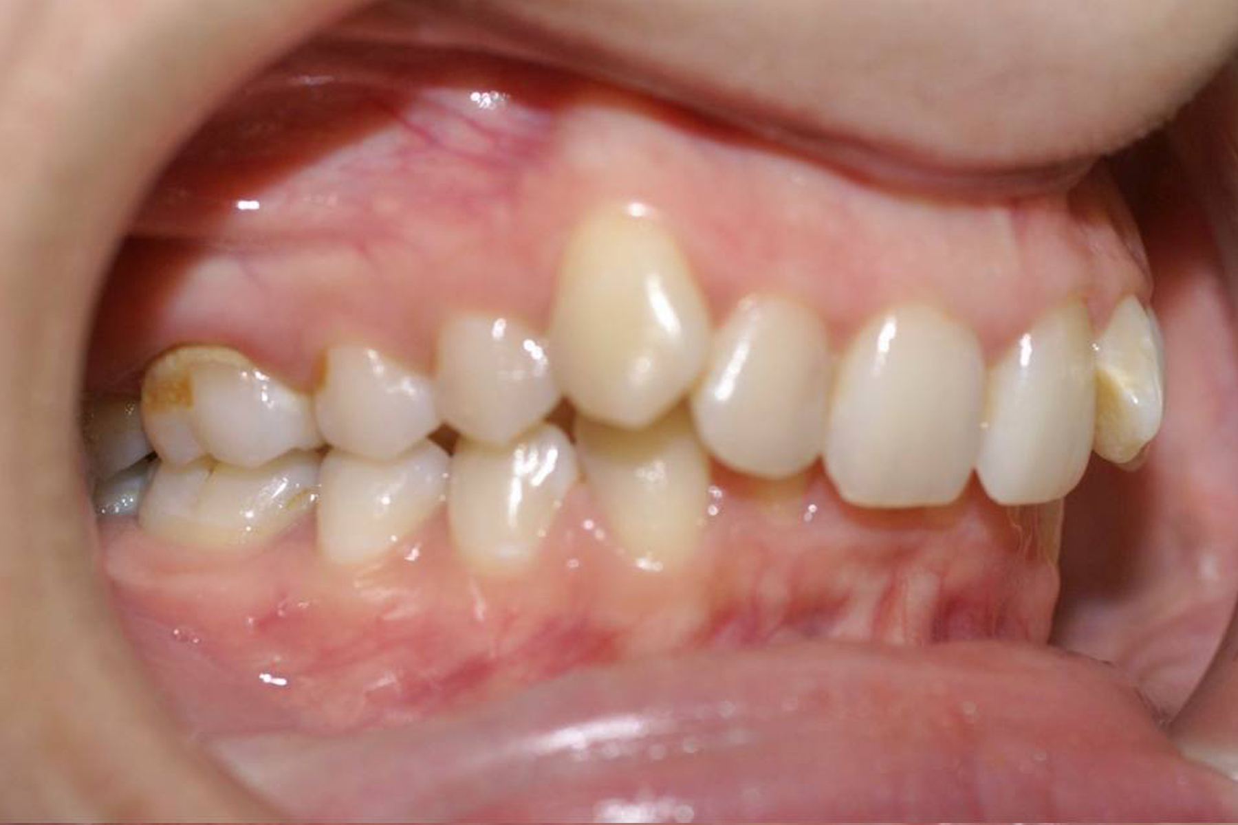
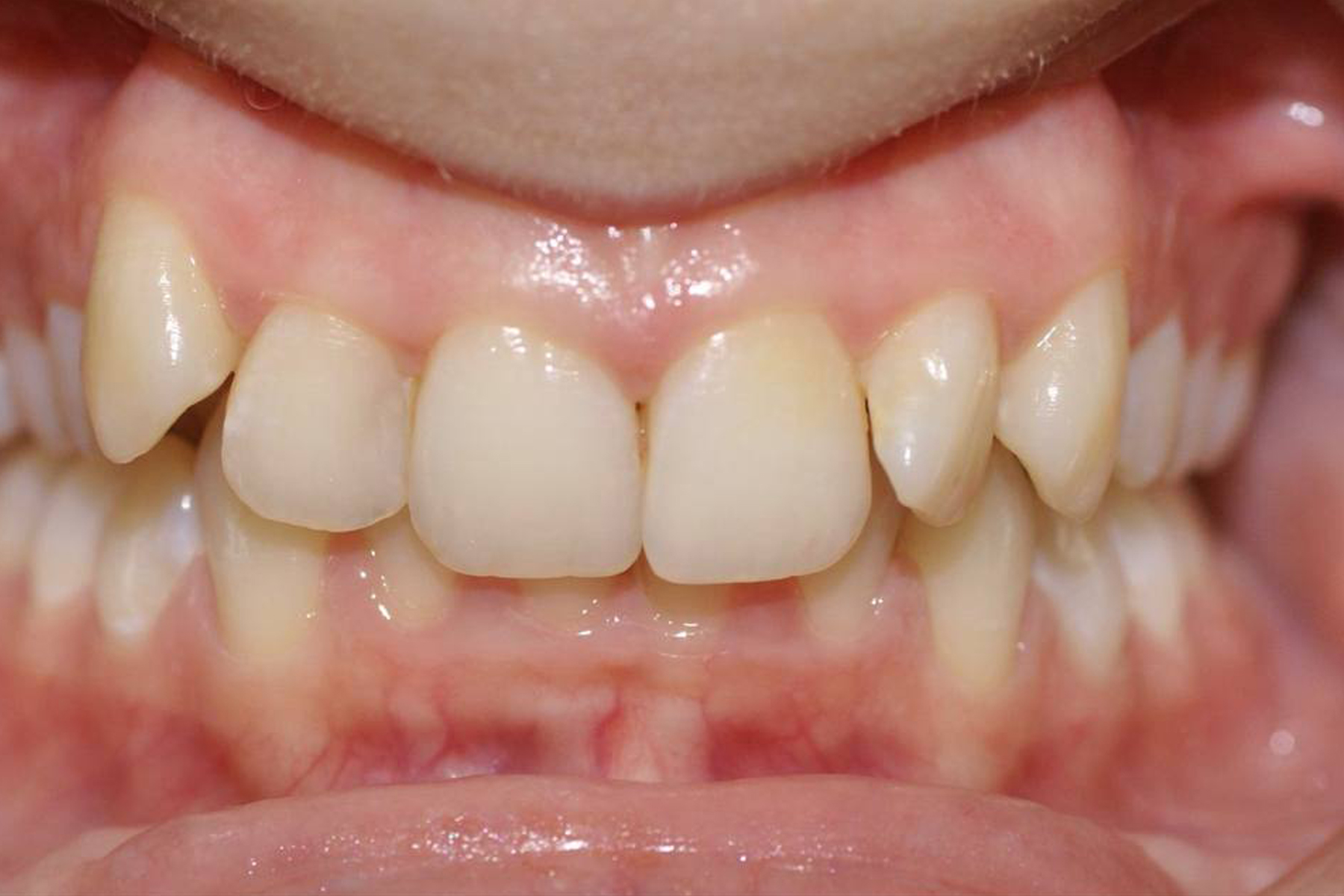
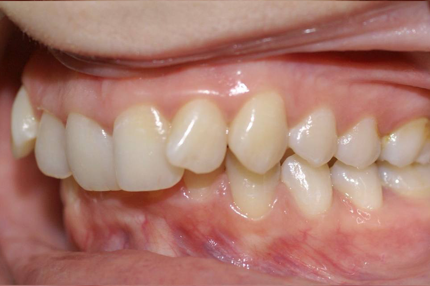
Результат работы

Лечение

Исправлена скученность, наклон отдельных зубов и наклон всей плоскости верхнего и нижнего зубного ряда. Нижняя челюсть разблокирована в движении

Нужна консультация?

Оставьте свой номер телефона, мы перезвоним, ответим
на Ваши вопросы и подберём удобное время приёма.

Или позвоните нам сами — 8 (8172) 239-709.

Мы собираем cookies и данные метрики для корректной работы сайта.
Политика обработки персональных данных

Принять