Лечение на брекет-системе | Стоматология «Ортодент прайм» в Вологде

Лечение на брекет-системе

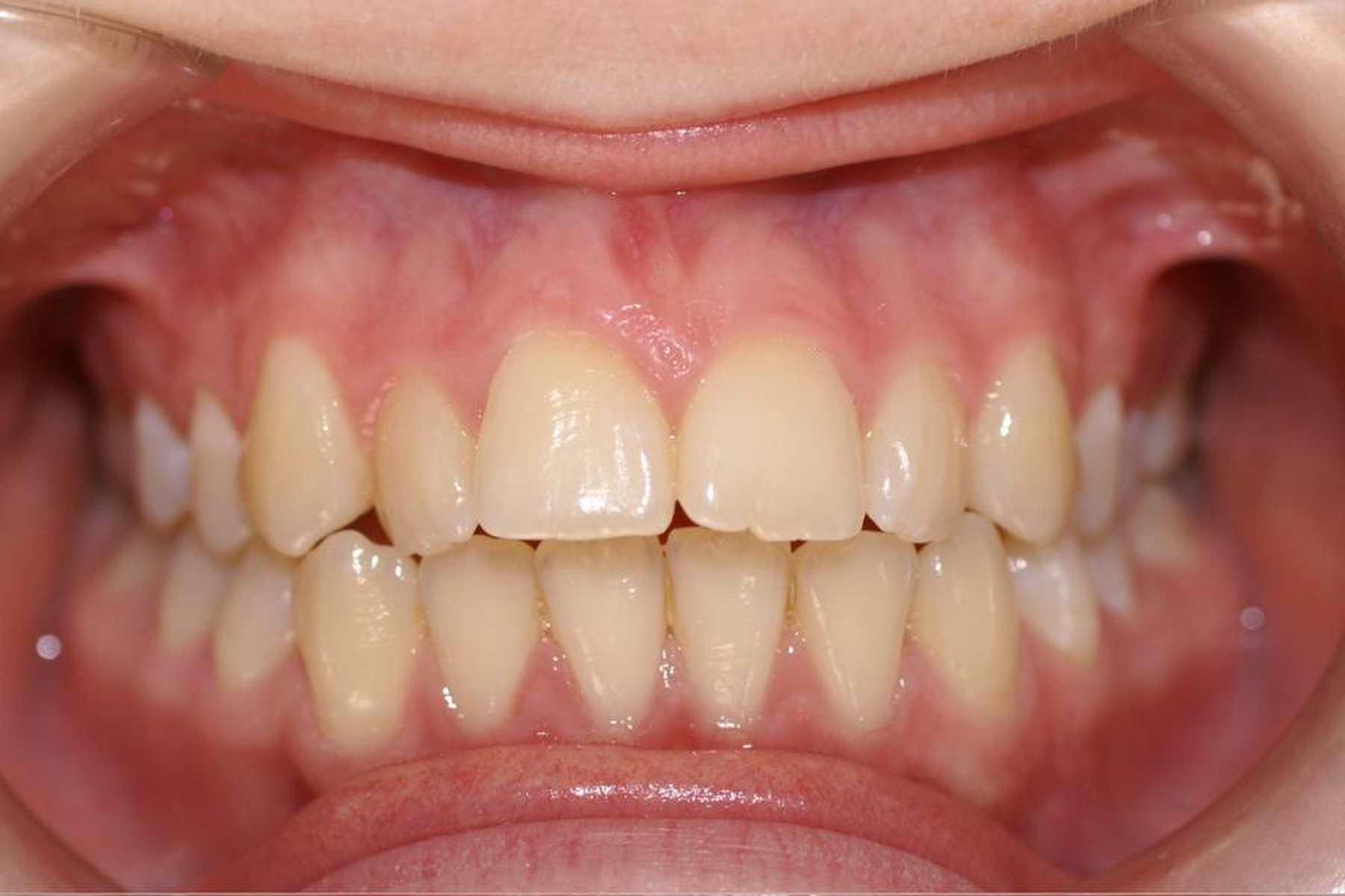
Диагноз:

Открытый прикус, несоответствие по ширине верхней и нижней челюсти.

/ Статьи /

Лечение на брекет-системе

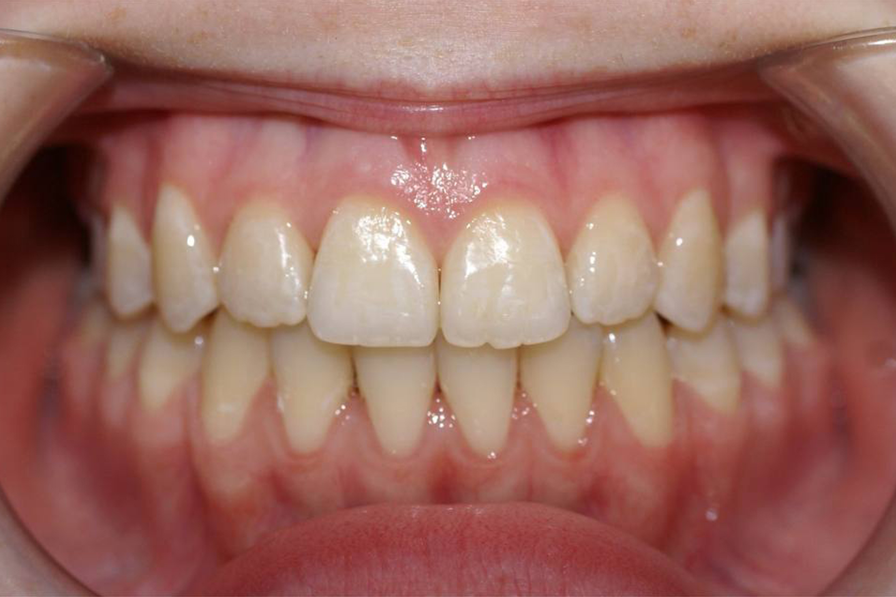
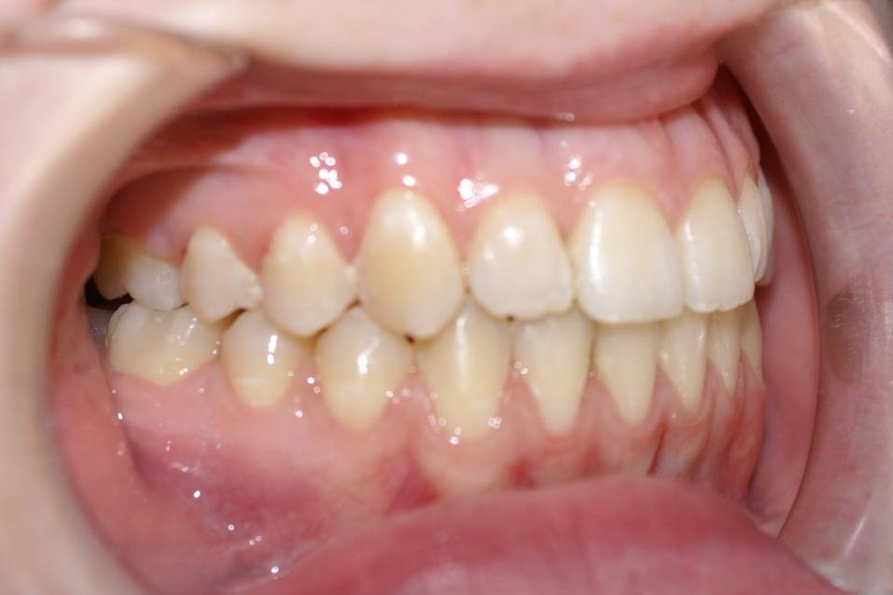
Результат работы

Лечение

Была проведена работа с ограничителями функции языка (шипы для языка) и передними эластиками на закрытие прикуса

Нужна консультация?

Оставьте свой номер телефона, мы перезвоним, ответим
на Ваши вопросы и подберём удобное время приёма.

Или позвоните нам сами — 8 (8172) 239-709.

Мы собираем cookies и данные метрики для корректной работы сайта.
Политика обработки персональных данных

Принять